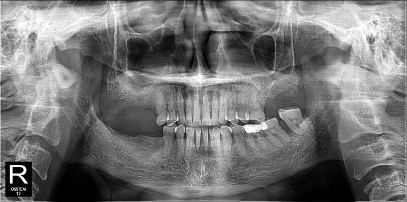
“Tưởng chừng chỉ là vài chiếc răng bị mòn, tụt nướu hay mất răng lâu năm… nhưng những vấn đề tưởng chừng đơn giản đó lại âm thầm ảnh hưởng lớn đến sức khỏe, khả năng ăn nhai và cả sự tự tin mỗi ngày.” Đó cũng chính là tình trạng mà chú Nguyễn Văn Bé trước khi tìm đến Nha khoa SGC.
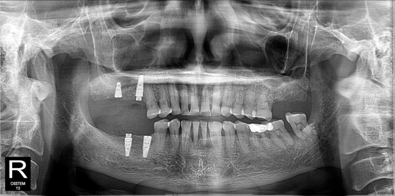
Đặt tiêu chí tối ưu, an toàn và phù hợp, đội ngũ bác sĩ chuyên môn tại SGC đưa ra giải pháp bao gồm: cấy ghép 4 trụ Implant Neodent vững chắc để khôi phục các răng hàm đã mất và bọc 24 răng sứ thẩm mỹ cao cấp.
Quá trình điều trị đã giúp chú Bé không chỉ khôi phục hoàn toàn khả năng ăn nhai, sở hữu nụ cười rạng rỡ, đều đẹp mà còn cải thiện đáng kể sức khỏe răng miệng tổng thể. Chú và vợ chú cảm thấy vô cùng hài lòng về dịch vụ cắm trụ Implant nha khoa SGC.




(+84) 28 999 59597



