Đăng vào
0/5 (0 Reviews)
Bác sĩ thẩm định nội dung
Thẩm định nội dung bởi
Chuyên khoa: Trồng Răng implant, Răng sứ Thẩm Mỹ, Nha khoa tổng quát,
Bác sĩ tại Nha khoa SGC, chuyên trồng răng Implant đơn lẻ và toàn hàm, răng sứ thẩm mỹ, điều trị tủy và các dịch vụ nha khoa tổng quát.
Trám răng và tẩy trắng răng có làm chung một ngày được không. Bác sĩ chuyên khoa cảnh báo bạn không nên thực hiện cả hai cùng lúc. Thuốc hóa học tuyệt đối không nên tẩy trắng cho răng trám tại nhà hoặc tại nha khoa không thể làm trắng phần vật liệu trám bằng các loại thuốc tẩy trắng răng. Nếu bạn bôi thuốc lên vùng răng đã hàn thì màu sắc sẽ loang lổ nghiêm trọng. Quy trình y khoa bắt buộc bạn phải làm sáng men răng thật trước. Sau đó bạn cần chờ từ 3 đến 5 ngày để màu sắc ổn định rồi mới tiến hành đắp vật liệu nhân tạo. Bài viết dưới đây vạch trần cơ chế hóa học làm hỏng vết trám và hướng dẫn phác đồ điều trị an toàn nhất cho bạn.
Nội dung

    Bác sĩ cảnh báo răng trám có tẩy trắng được không theo y khoa

    Bác sĩ nha khoa luôn khuyên bệnh nhân phải hiểu rõ cơ chế của thuốc trước khi làm đẹp. Việc này giúp bạn tránh khỏi các biến chứng nguy hiểm cho khoang miệng.

    Thuốc oxy hóa hoàn toàn không có tác dụng với vật liệu trám răng

    Nhiều người thắc mắc răng trám có tẩy trắng được không khi miếng trám cũ bị đen sậm. Bác sĩ khẳng định là KHÔNG. Hoạt chất Peroxide chỉ phản ứng cắt đứt chuỗi protein màu trên men răng thật. Thuốc làm sáng hoàn toàn vô hiệu với vật liệu trám răng như nhựa Composite hoặc hợp kim Amalgam. Bệnh nhân có răng trám bị xỉn màu sẽ không thấy sự thay đổi nào trên bề mặt nhân tạo. Bệnh nhân thắc mắc trám có tẩy trắng được không thì câu trả lời luôn là từ chối. Lớp men răng thật sẽ trắng lên nhưng vết trám vẫn giữ nguyên màu vàng ố cũ kỹ.

    Bệnh nhân tuyệt đối không tự ý bôi thuốc lên răng đã hàn

    Nếu bạn cố ý sử dụng thuốc tẩy trắng lên vùng răng đã hàn thì hóa chất sẽ phá vỡ liên kết keo dán. Phản ứng này làm miếng trám bị ố vàng nhanh hơn. Vật liệu thậm chí chuyển sang màu đen sậm và dễ dàng bong tróc ra ngoài. Nhiều người hỏi răng trám có tẩy được bằng máng ngậm không. Bác sĩ nhắc nhở bạn tuyệt đối không thực hiện việc này. Bệnh nhân có răng trám có tẩy trắng sai cách sẽ đối mặt với tình trạng ê buốt tủy răng dữ dội. Bạn bắt buộc phải tuân thủ trình tự y khoa chuyên sâu từ bác sĩ.
    rang-tram-bi-o-vang.webp
    Răng trám bị ố vàng không thể làm trắng bằng thuốc hóa học thông thường mà cần phải tháo bỏ thay mới.

    Chuyên gia chỉ định quy trình trám răng và tẩy trắng răng an toàn

    Bác sĩ nha khoa luôn thiết lập phác đồ điều trị nghiêm ngặt. Việc tuân thủ trình tự giúp bệnh nhân bảo vệ cấu trúc răng thật một cách tối đa.

    Bác sĩ làm sáng men răng thật bằng công nghệ Laser lạnh

    Nếu bạn băn khoăn có nên tẩy trắng răng không khi bị sâu răng nhẹ thì bác sĩ sẽ đánh giá mô cứng trước. Bác sĩ thoa gel cách ly nướu và sử dụng ánh sáng Laser để làm sáng toàn bộ hàm răng. Hoạt chất sẽ thấm sâu và làm trắng răng an toàn. Dịch vụ tẩy trắng răng tại SGC mang lại nụ cười rạng rỡ chỉ sau 45 phút thực hiện. Bệnh nhân sẽ sở hữu hàm răng trắng đều màu mà không bị ê buốt. Mức giá trọn gói cho dịch vụ này vô cùng hợp lý.

    BẢNG GIÁ DỊCH VỤ NHA KHOA THẨM MỸ SGC

    Hạng mục điều trịChi phí trọn gói
    Khám và tư vấn tình trạng men răngMiễn phí
    Cạo vôi răng bằng sóng siêu âmMiễn phí kèm dịch vụ
    Làm sáng màu răng công nghệ Dual Laser1.790.000đ

    Bệnh nhân chờ từ 3 đến 5 ngày rồi mới tiến hành hàn trám lỗ sâu

    Đây là quy tắc bất di bất dịch trong nha khoa. Bệnh nhân hỏi răng và tẩy trắng răng làm cùng lúc được không thì bác sĩ sẽ từ chối. Bác sĩ yêu cầu bạn chờ khoảng 3 đến 5 ngày sau khi dùng thuốc. Thời gian này giúp màu sắc men răng thật ổn định hoàn toàn và các ống ngà đóng kín lại. Khí oxy từ thuốc tẩy cũng tan biến hết khỏi men răng. Sau đó bác sĩ mới tiến hành so bảng màu và đắp vật liệu Composite. Việc này giúp quá trình hàn răng đạt độ đồng nhất màu sắc cao nhất.
    quy-trinh-tram-rang-tham-my
    Bác sĩ tiến hành so màu và hàn trám lỗ sâu sau khi men răng đã ổn định màu sắc từ 3 đến 5 ngày.

    Bác sĩ hướng dẫn phương pháp tối ưu để khắc phục khuyết điểm xỉn màu răng

    Khách hàng có nhiều phương án để phục hình nụ cười. Bác sĩ sẽ tư vấn dựa trên tình trạng thực tế của từng người để đảm bảo hiệu quả ăn nhai.

    Bác sĩ tháo bỏ và thay thế vật liệu mới cho vết trám cũ

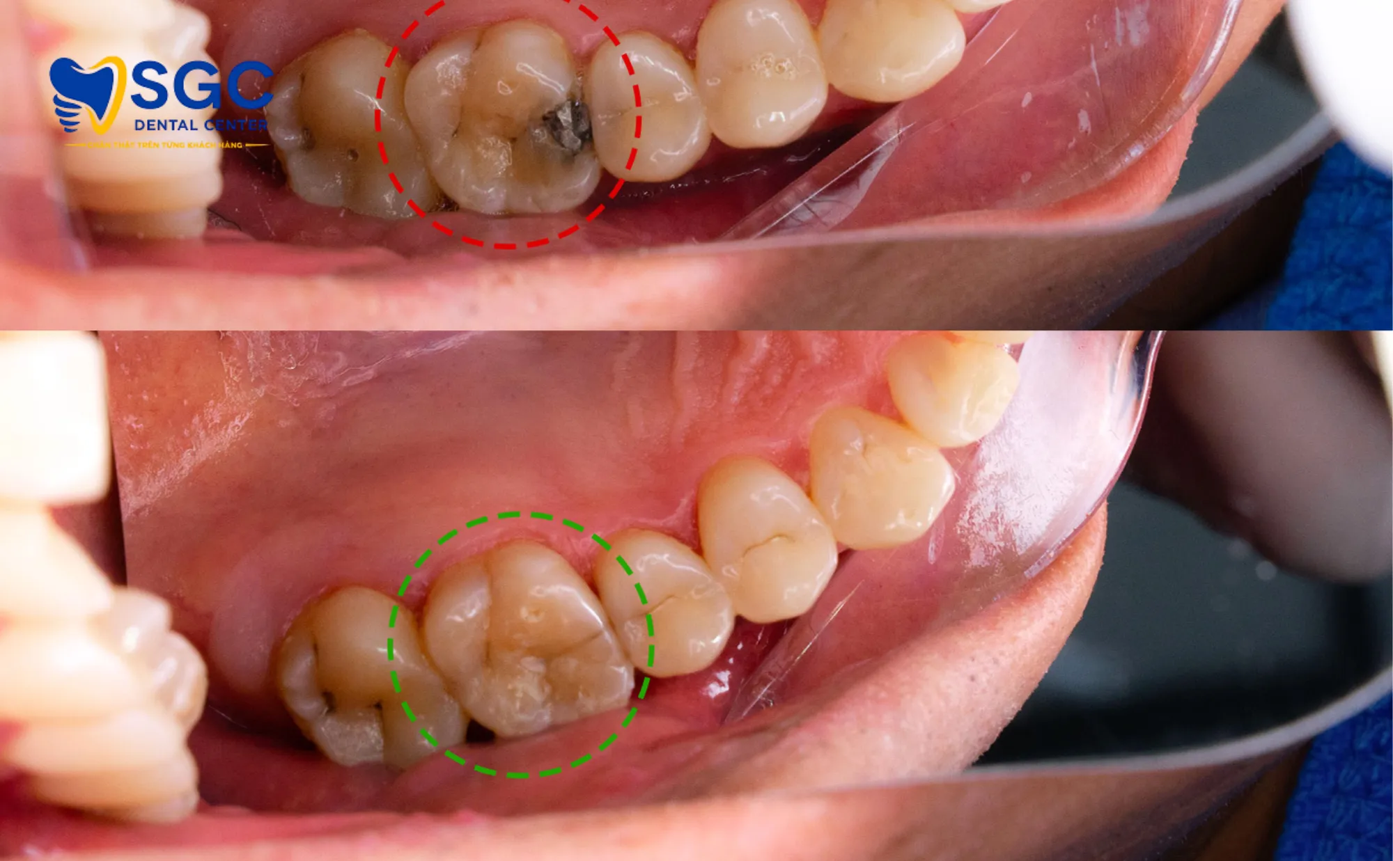
    Nếu răng trám bị ố vàng do ăn uống thì việc thay miếng trám mới là phương pháp tối ưu để khắc phục khuyết điểm xỉn màu răng. Bác sĩ sẽ dùng mũi khoan chuyên dụng lấy sạch lớp Composite cũ. Sau đó bác sĩ trám lại bằng vật liệu mới có màu sắc trùng khớp với men răng hiện tại. Bệnh nhân hỏi có tẩy trắng được không thì bác sĩ nhắc lại là chỉ có cách thay mới. Bạn cần tìm đến một nha khoa uy tín để thực hiện kỹ thuật bóc tách này an toàn.

    Bác sĩ bọc sứ thẩm mỹ cho trường hợp vết trám quá lớn

    Đối với các ca răng cửa bị mẻ lớn hoặc miếng trám kim loại bị đen viền thì bác sĩ chỉ định bọc mão toàn sứ. Bạn có thể tham khảo bài viết nên tẩy trắng răng hay bọc sứ để hiểu rõ độ bền vững của phương án này. Răng sứ không bị nhiễm màu thực phẩm và bảo vệ thân răng thật rất tốt. Tuổi thọ của răng sứ có thể lên đến 15 năm nếu bạn chăm sóc đúng cách.
    boc-rang-su-cho-rang-tram
    Bọc răng toàn sứ giúp che phủ hoàn toàn các khuyết điểm ố vàng và bảo vệ thân răng vỡ lớn.

    Bác sĩ giải đáp các thắc mắc về tình trạng răng và tẩy trắng

    Bệnh nhân thường có nhiều câu hỏi xoay quanh vấn đề nha khoa thẩm mỹ. Bác sĩ tổng hợp và trả lời chi tiết để bạn có thêm kiến thức bảo vệ nụ cười.
    Răng sâu có tẩy trắng được không thưa bác sĩ
    Bác sĩ nghiêm cấm việc dùng thuốc khi răng đang có lỗ sâu hở. Hóa chất rò rỉ vào buồng tủy sẽ gây viêm nhiễm và đau nhức dữ dội. Bạn hãy đọc thêm phân tích lâm sàng tại bài viết răng sâu có tẩy trắng được không để nắm rõ mức độ nguy hiểm của hành động này.
    Bác sĩ khẳng định là không. Việc dùng máng ngậm tại nhà chỉ làm sáng phần răng thật. Miếng trám giữ nguyên màu ố vàng sẽ tạo ra hàm răng loang lổ hai màu cực kỳ mất thẩm mỹ. Bạn bắt buộc phải đến phòng khám để bác sĩ tháo miếng trám cũ ra trước.
    Chuyên gia y khoa khuyến cáo phụ nữ mang thai tuyệt đối không thực hiện các thủ thuật sử dụng hóa chất nha khoa. Bạn chỉ nên cạo vôi răng bằng sóng siêu âm và chờ sau khi cai sữa cho bé mới tiến hành làm đẹp để đảm bảo an toàn cho thai nhi.

    THAM VẤN Y KHOA – BS. CKI NGUYỄN TRUNG KHÁNH (Bài viết được thẩm định chuyên môn bởi Bác sĩ Nguyễn Trung Khánh – Chuyên gia cấy ghép Implant và Răng sứ thẩm mỹ, Trưởng khoa tại Nha Khoa SGC).

    NHA KHOA SGC (SAI GON CITY DENTAL) | Tận Tâm – Uy Tín – Trách Nhiệm

    • Địa chỉ – 34 Hồ Biểu Chánh, Phường 11, Quận Phú Nhuận, TP. HCM
    • Hotline hỗ trợ 24/7 – 028 999 59597
    • Giờ làm việc – Thứ 2 – Thứ 7 (8h00 – 20h00) | Chủ nhật (8h00 – 21h00)
    • Đặt lịch ưu đãi ngay – Tẩy trắng răng Laser 1.790.000đ
    Lưu ý y khoa – Các kiến thức nha khoa trong bài viết chỉ mang tính chất tham khảo. Tình trạng răng miệng và mức độ nhiễm màu của mỗi người là khác nhau. Vui lòng liên hệ trực tiếp Hotline hoặc đến nha khoa SGC để được Bác sĩ kiểm tra cấu trúc men răng và tư vấn phác đồ điều trị chính xác nhất.